Doenças Pulmonares Crônicas: A Importância do Raio-X e da Tomografia no Diagnóstico
🌬️ O que são doenças pulmonares crônicas?
As doenças pulmonares crônicas são condições respiratórias que persistem por meses ou anos, afetando a capacidade do pulmão de realizar trocas gasosas. Entre as mais comuns estão a Doença Pulmonar Obstrutiva Crônica (DPOC), fibrose pulmonar idiopática, bronquiectasias e complicações pulmonares da COVID-19.
📸 Papel do Raio-X na detecção inicial
O RX de tórax é, na maioria dos casos, o primeiro exame solicitado para avaliações respiratórias. Sua rapidez, baixo custo e ampla disponibilidade tornam-no ideal para o rastreio e acompanhamento de doenças pulmonares. Ele permite avaliar padrões de opacidades, hipertransparências, derrames pleurais, alterações na silhueta cardíaca e sinais indiretos de bronquiectasias ou fibroses.
🧠 O detalhe da Tomografia Computadorizada (TC)
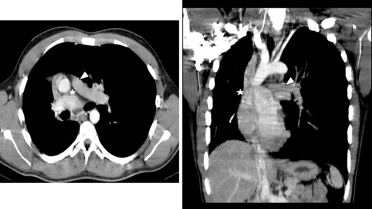
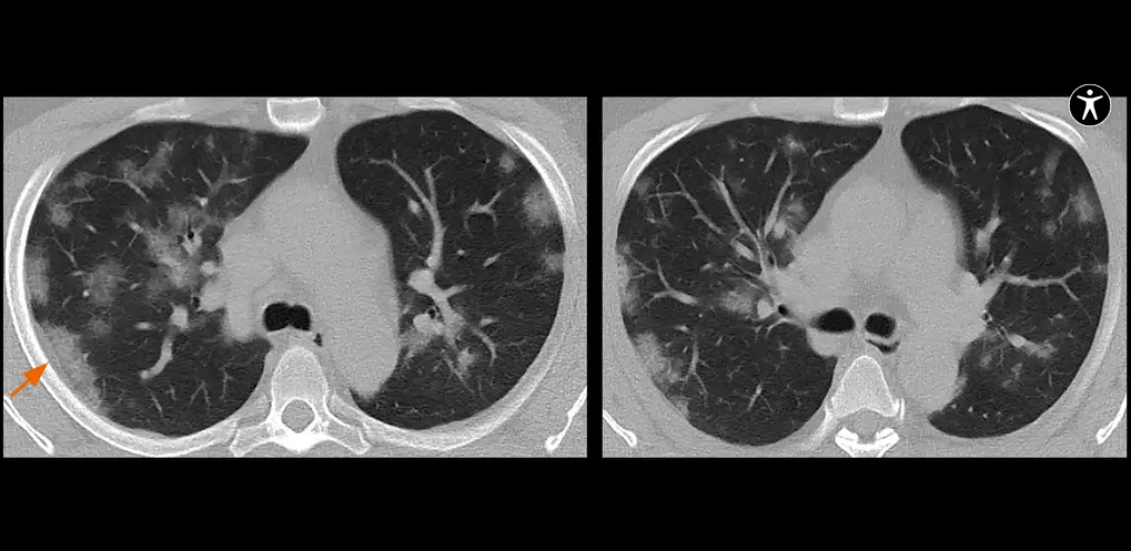
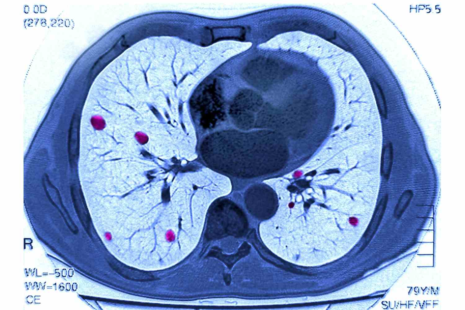
Quando o RX não esclarece completamente o quadro clínico ou há suspeita de complicações, a TC de alta resolução (TCAR) entra em cena. Ela permite observar com riqueza detalhes como espessamento septal, opacidades em vidro fosco, nódulos pulmonares, destruição alveolar e alterações brônquicas.
Com cortes finos e reconstruções multiplanares, é o exame de escolha para avaliar a extensão de uma fibrose, o padrão intersticial, ou confirmar/emergir lesões compatíveis com sequelas da COVID-19. Também auxilia no estadiamento de neoplasias pulmonares e investigações vasculares (angio-TC).
🫁 Principais doenças pulmonares crônicas e seus achados
- DPOC: hiperinsuflação, achatamento diafragmático, rarefação de trama vascular.
- Fibrose pulmonar: espessamento septal, faveolamento, bronquiectasias por tração.
- Bronquiectasias: dilatação anormal e irreversível dos brônquios.
- Asma: pode apresentar espessamento de parede brônquica, muco impactado.
- Sequelas de COVID-19: vidro fosco, consolidações residuais, fibroses.
🎯 Papel do técnico em radiologia
O técnico deve dominar as posições ideais de RX (PA e perfil), saber realizar TC com protocolo de alta resolução, entender a diferença entre reconstruções axiais e coronais e seguir normas de proteção radiológica. Em muitos serviços, é ele quem realiza os exames e garante a qualidade das imagens entregues ao radiologista.
📍 Conclusão
O RX e a TC são essenciais no cuidado com as doenças pulmonares crônicas. O conhecimento detalhado dessas técnicas, dos protocolos e dos padrões radiológicos é o que diferencia o profissional preparado. Invista no seu aprendizado e valorize sua atuação na linha de frente do diagnóstico por imagem.