TOMOGRAFIA POR DUPLA ENERGIA – TECNOLOGIA E APLICAÇÕES
💡 O que é a Tomografia por Dupla Energia?
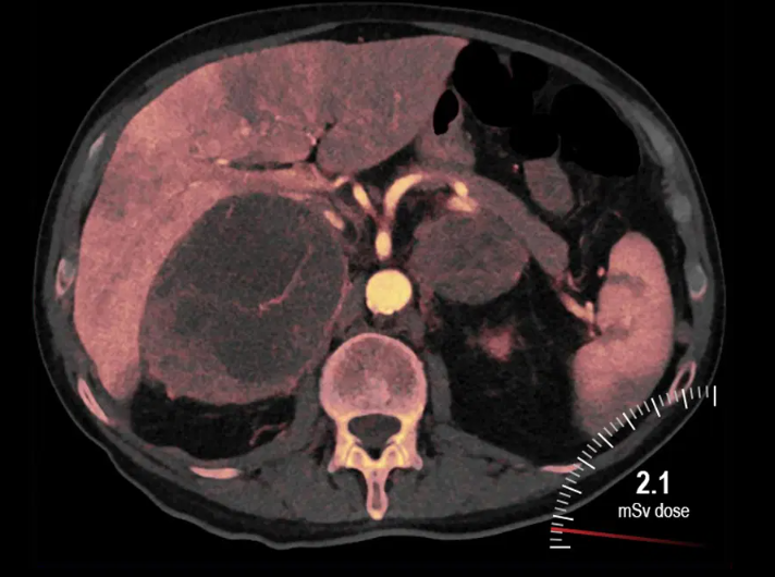
A Tomografia Computadorizada por Dupla Energia (ou Dual Energy CT) é uma tecnologia avançada que utiliza dois espectros distintos de energia (geralmente 80 kVp e 140 kVp) para adquirir imagens simultâneas. Isso permite diferenciar materiais com mais precisão, realçar tecidos específicos e reduzir artefatos de imagens.
⚙️ Como funciona na prática?
Os sistemas de Dupla Energia podem usar dois tubos de raio-X diferentes ou alternância rápida da voltagem em um único tubo. As imagens adquiridas em diferentes níveis energéticos são combinadas por softwares específicos, gerando mapas espectrais e imagens com realce seletivo de tecidos e elementos como cálcio, urato e iodo.
🏥 Aplicações clínicas
- Gota: identificação de cristais de urato monosódico;
- Urologia: diferenciação entre cálculos de ácido úrico e cálcio;
- Oncologia: realce tumoral com contraste de iodo;
- Vascular: redução de artefatos metálicos e análise de estents;
- Ortopedia: separação entre tecido ósseo e partes moles com alta precisão.
📷 Benefícios da técnica
A Dual Energy CT oferece vantagens como menor necessidade de contraste iodado, imagens com melhor relação sinal/ruído e análise mais precisa de tecidos moles. Além disso, permite reconstruções com realce seletivo e geração de imagens virtuais sem osso ou sem contraste.
👨💻 O papel do Técnico em Radiologia
É fundamental que o técnico compreenda os parâmetros específicos de aquisição para protocolos de dupla energia, escolha correta das janelas de reconstrução e supervisão da administração do contraste. Essa técnica exige precisão e treinamento contínuo para garantir a máxima qualidade de imagem.
Saiba mais.
Consulte na SiemensRAIOXNAWEB: onde a inovação encontra a prática da radiologia técnica.