Ressonância Magnética no Estudo de Fluxo Liquórico
🧠 O que é o estudo de fluxo liquórico?
O fluxo liquórico é o movimento natural do líquido cefalorraquidiano (LCR) que circula no cérebro e na medula espinhal, protegendo e nutrindo o sistema nervoso central. Alterações nesse fluxo podem estar associadas a doenças como hidrocefalia, malformação de Chiari, estenose aquedutal e infecções. A ressonância magnética é o método mais indicado para investigar essas alterações, pois não utiliza radiação e oferece imagens dinâmicas de alta resolução.
📌 Importância do exame
- Detectar obstruções no trajeto do LCR.
- Avaliar a gravidade da hidrocefalia.
- Identificar alterações pós-cirúrgicas ou complicações.
- Auxiliar no planejamento cirúrgico de derivações ou correções anatômicas.
🛠️ Programação do exame
Para garantir resultados confiáveis, é essencial seguir um protocolo técnico adequado:
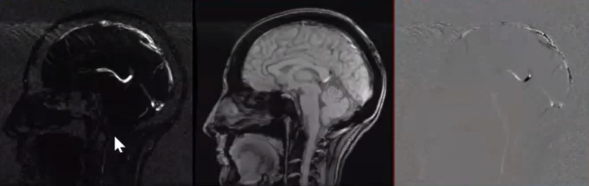
- Plano de corte: Sagital mediano como referência principal para planejamento.
- Área de interesse: Todo o trajeto do LCR, incluindo ventrículos, aqueduto cerebral e espaço subaracnóideo.
- Resolução: Alta definição com cortes finos (1–5 mm) para visualização detalhada.
🪑 Posicionamento do paciente
O paciente deve permanecer em decúbito dorsal, com a cabeça posicionada de forma centralizada na bobina de crânio. É fundamental minimizar movimentos para não comprometer a qualidade das imagens. Em pacientes com dificuldade de colaboração, pode ser necessário sedação leve (sob supervisão médica).
📷 Principais sequências utilizadas
O protocolo pode variar de acordo com o equipamento, mas geralmente inclui:
| Sequência | Finalidade | Ajustes recomendados |
|---|---|---|
| T1 sagital e axial | Avaliar anatomia geral e referência para planejamento. | TR curto, TE curto, cortes finos. |
| T2 axial e sagital | Visualizar áreas hiperintensas do LCR e estruturas adjacentes. | TR longo, TE longo, alta resolução espacial. |
| Cine Phase-Contrast (PC-MRI) | Estudo dinâmico do fluxo do LCR com codificação de velocidade. | VENC ajustado entre 5 e 20 cm/s, plano sagital no aqueduto. |
| 3D T2 SPACE ou CISS/FIESTA | Reconstrução volumétrica do trajeto do LCR. | Alta resolução isotrópica, cortes finos <1 mm. |
⚠️ Cuidados e limitações
- Evitar movimentos durante o exame para não gerar artefatos.
- Ajustar VENC corretamente para evitar sub ou superestimativa da velocidade do fluxo.
- Contraindicações comuns da RM devem ser respeitadas (marcapassos não compatíveis, implantes metálicos, etc).
Conclusão: O estudo de fluxo liquórico por ressonância magnética é uma ferramenta essencial para o diagnóstico de doenças que afetam o LCR. Seguindo o protocolo adequado e garantindo um posicionamento correto, o exame proporciona informações valiosas para o manejo clínico e cirúrgico.