Plexo Braquial e seus detalhes

imagem anatomia humana

Plexo Braquial

O plexo braquial é formado pela união dos ramos ventrais das raízes C5-T1, com participação ocasional de C4 e T2.

As raízes nervosas superiores correm inferior, lateral e anteriormente, passando entre os músculos escaleno anterior e médio. As raízes nervosas C5 e C6 unem-se adjacente à borda lateral do músculo escaleno anterior para formar o tronco superior do plexo braquial, enquanto as raízes C8 e T1 formam, posteriormente ao músculo escaleno anterior, o tronco inferior, que se situa sobre a primeira costela. A raiz C7, isoladamente, constitui o tronco médio.

image cranio

Os troncos superior e médio do plexo braquial, ao passarem pela borda lateral do músculo escaleno anterior, dividem-se em anterior e posterior. O mesmo ocorre com o tronco inferior, porém somente quando este alcança ou ultrapassa a primeira costela, posteriormente à clavícula ou à axila.

A união entre as divisões anteriores dos troncos superior e médio, na porção inferior do pescoço, constitui o fascículo lateral. O fascículo posterior provém da junção entre as divisões posteriores dos três troncos e o fascículo medial provém da divisão anterior do tronco inferior, quando o mesmo atravessa a porção inferior do pescoço.

Os três fascículos do plexo braquial dirigem-se até a axila, passando entre a clavícula e a primeira costela, adjacentes à veia e artéria axilares, ficando envolvidos por uma fáscia.

ASPECTOS NORMAIS DO PLEXO BRAQUIAL À RM

As raízes, troncos, divisões e fascículos apresentam-se, à RM, como estruturas lineares com hipossinal (semelhante ao da musculatura) nas seqüências ponderadas T1 e T2.

LESÕES TRAUMÁTICAS DO PLEXO BRAQUIAL

Nos casos de traumatismo do plexo braquial, a RM, inicialmente, foi utilizada com o objetivo de avaliar a porção pós-ganglionar, já que, através desse método, é possível identificar a presença de fibrose e formação de neuromas extraforaminais pós-traumáticos, além de sinais indiretos de avulsão de componentes do plexo braquial manifestos na musculatura adjacente(8). Pode, ainda, auxiliar na definição do nível em que se encontram determinadas lesões , intraforaminal (pré-ganglionar) ou extraforaminal, critério fundamental na escolha do tratamento a ser realizado.

Em relação à mielografia e à mielotomografia, a RM tem a vantagem de não expor o paciente à radiação ionizante, além de ser um método não-invasivo.

A indicação mais freqüente de realização de RM do plexo braquial são os traumas, que podem provocar lesão de seus componentes por mecanismo de tração, por trauma direto fechado, por compressão ocasionada por hematomas ou tecidos adjacentes lesados.

A RM, como já citado anteriormente, provê boa avaliação do plexo braquial além do forame intervertebral, região não muito bem estudada pelos outros métodos de imagem.

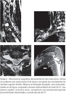
Ausência do hipossinal correspondente à raiz nervosa em meio à gordura na topografia do forame intervertebral, nas seqüências ponderadas em T1, leva ao diagnóstico de avulsão da raiz. Imagens em planos axiais são as que melhor demonstram essas alterações.

Aumento da intensidade do sinal, em T2, nas raízes traumatizadas, pode ser observado, sendo decorrente de edema neural.

As meningoceles traumáticas ou pseudomeningoceles aparecem como massas extra-aracnóides com intensidade de sinal semelhante ao liquor, projetando-se para fora do canal medular e podem estar relacionadas à avulsão das raízes correspondentes. Essas alterações podem ser bem caracterizadas nas imagens axiais, coronais e sagitais.

plexo

Neuromas pós-traumáticos podem ser identificados como espessamentos irregulares do plexo, isointensos em relação à musculatura nas seqüências ponderadas em T1 e acentuado hipersinal em T2 ou em short time inversion recovery (STIR).

Fibrose ao longo dos trajetos das estruturas nervosas também pode ser encontrada na RM nas vítimas de trauma.

A denervação completa de determinados grupos musculares supridos pelo plexo braquial pode levar a alterações na RM após 15 dias do trauma como: prolongamento do tempo de relaxamento do tecido nas seqüências ponderadas em T1 e T2 (aumento de água extracelular nas fibras musculares), manifestando-se como hipersinal apenas em T2 . Quando crônica e completa, a denervação provoca atrofia e substituição gordurosa da musculatura. Nestes casos, observa-se, em T1, redução volumétrica do ventre muscular, com áreas de hipersinal de permeio às fibras e, em T2 com saturação de gordura ou com STIR, acentuado hipersinal difuso e homogêneo. As alterações musculares, além de representarem um sinal indireto confiável de lesão de algum componente do plexo braquial, pode, de acordo com o grupo muscular alterado, auxiliar na localização da lesão, porém, quando ausentes, não permitem a exclusão deste diagnóstico.

A presença de realce, após injeção de contraste paramagnético endovenoso, nas raízes intradurais, nos cotos das raízes emergindo da medula e na superfície medular demonstra lesão na porção intradural das raízes nervosas, representando quebra da barreira hematonervosa, associada ou não a fibrose pós-trauma e/ou formação de neuroma podendo significar, indiretamente, lesão intraforaminal(15).

plexo

EXTENSÃO DIRETA OU METÁSTATICA DE NEOPLASIAS

Tumores primários de ossos, partes moles do pescoço, fossa supraclavicular ou da porção superior do tórax (como, por exemplo, tumores de sulco posterior) podem invadir diretamente o plexo braquial, levando a dor, parestesia e fraqueza, principalmente nos territórios correspondentes a C8 e T1. Imagens em planos coronais e sagitais facilitam muito a visualização do tumor e das estruturas adjacentes.

Os tumores do sulco superior, também conhecidos como tumores de Pancoast, são tumores primários do pulmão cuja manifestação clínica consta de dor nos territórios correspondentes aos da oitava raiz nervosa cervical e primeira e segunda torácicas, além da síndrome de Horner, conseqüente à invasão do gânglio estrelado.

Histologicamente, correspondem a carcinomas espinocelulares, adenocarcinomas e carcinomas de grandes células, igualmente distribuídos quanto à frequência.

Apesar da radiografia ainda constituir o método inicial de imagem no estudo destes tumores, a RM parece ser o método que melhor avalia e demonstra esses tumores, por possibilitar o estudo multiplanar das estruturas envolvidas, sendo possível verificar o envolvimento do plexo braquial e a invasão de estruturas cardiovasculares(17).

A disseminação metastática de alguns tumores também pode produzir sintomas de compressão do plexo braquial. Os tumores de mama são um exemplo, em razão de sua principal via de disseminação, que é linfática, drenando principalmente para o ápice da axila. Esta linfonodopatia pode circundar o feixe neurovascular e comprimi-lo.

image cranio

TUMORES PRIMÁRIOS DO PLEXO BRAQUIAL

Tumores primários do plexo braquial são raros, sendo que, entre os mais freqüentes, estão os neurofibromas, constituindo um dos tumores benignos da bainha nervosa do plexo braquial mais comuns.

Um terço dos neurofibromas do plexo braquial ocorre na neurofibromatose tipo I (em que pode haver lesões múltiplas e plexiformes, com envolvimento difuso do plexo braquial) e dois terços são esporádicos.

Quando isolados, sua diferenciação com Schwannomas é difícil. À RM, são isointensos em relação ao músculo em T1 e muito hiperintensos em T2, às vezes apresentando áreas centrais de hipossinal (sinal do alvo). Realçam intensamente após injeção de contraste.

image cranio

LIMITAÇÕES DA RESSONÂNCIA MAGNÉTICA

A visualização das porções pré-ganglionares das raízes nervosas à RM é limitada, provavelmente por artefatos produzidos pelos movimentos torácicos respiratórios, movimentos de deglutição da hipofaringe, fluxo sangüíneo no interior dos vasos cervicais(16), além do contraste insuficiente entre o espaço subaracnoídeo e as estruturas neurais, tornando esse método diagnóstico inferior à mielotomografia e à mielografia no diagnóstico das lesões pré-ganglionares do plexo braquial. Apesar dessa limitação, concluíram que, em avaliações completas da coluna cervical, a RM com achados totalmente normais pode excluir a existência de lesões pré-ganglionares.

Outro inconveniente é o tempo requerido para a realização da RM, que é longo, sendo necessário sedação em casos pediátricos.

Com o advento da RM, têm-se obtido avanços no que diz respeito ao estudo das diversas estruturas que compõem e que cercam o plexo braquial, e também de estruturas que são inervadas por ele. Apesar de suas limitações quanto à caracterização das porções intraforaminais do plexo braquial, permite adequada avaliação de todo o trajeto extraforaminal, além da visibilização das estruturas musculares supridas por este plexo nervoso, fornecendo, assim, sinais diretos e indiretos de eventuais lesões existentes do mesmo.

Radiografia simples

A radiografia simples de coluna cervical, ombros, escápula e ossos do membro superior pode ser o início do estudo do plexo braquial, sendo útil na detecção de alterações congênitas, como no caso das costelas cervicais, que podem comprimir o plexo braquial e levar à conseqüente sintomatologia.

Nos casos de traumas, a pesquisa de fraturas é imprescindível. Fraturas associadas a luxação anterior da extremidade proximal do úmero podem levar à disfunção do plexo braquial, muitas vezes auto-limitada, por meio dos mecanismos de contusão ou tração das suas porções proximais.

Lesões osteolíticas e/ou áreas de reabsorções ósseas associadas a tumores adjacentes também podem ser avaliadas por meio de radiografia simples.

Alguns tipos de fraturas correlacionam-se mais freqüentemente com contusões ou lesões por tração do plexo braquial. Luxações anteriores da articulação gleno-umeral podem, mesmo quando não associadas a fraturas, associar-se a acometimento do plexo braquial em 7% a 45% das vezes.

Mielografia e mielotomografia

A mielografia atualmente sempre é realizada em combinação com a tomografia. Algumas vantagens da mielografia/mielotomografia em relação à RM seriam a maior facilidade na avaliação de fraturas adjacentes.

As principais limitações desses métodos são o seu caráter invasivo, o uso de contrastes iônicos e o uso de radiação ionizante

RaioXnaWeb!

R A I O X N A W E B