Complexidade RM Cardiaca

imagem anatomia humana

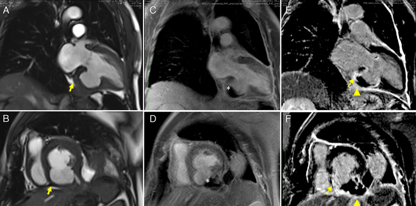
A ressonância magnética cardíaca (RMC) é um exame de diagnóstico por imagem seguro, não invasivo e indolor utilizado para detectar, diagnosticar e monitorar diversas alterações e doenças cardiovasculares. Vamos explorar mais sobre esse exame:

• O que é a Ressonância Magnética Cardíaca?

o A RMC produz imagens anatômicas detalhadas da estrutura cardíaca, da função ventricular, da perfusão miocárdica e da caracterização tecidual em diversos planos, incluindo imagens tridimensionais (3D). o É um exame não utiliza radiação ionizante e é usado para avaliar diversas condições cardíacas, como cardiopatias congênitas, doenças da aorta, vasos pulmonares e muito mais. o As imagens são geradas por uma máquina altamente tecnológica, que possui um formato cilíndrico e usa um grande ímã que interage com o corpo do paciente através de um poderoso campo magnético e ondas de radiofrequência.

• Para que serve a Ressonância Magnética Cardíaca?

o O médico pode solicitar a RMC para:

 Avaliar a função das câmaras cardíacas, válvulas cardíacas e fluxo sanguíneo.

 Detectar distúrbios cardiovasculares, como infecções, inflamações, tumores, entre outros.

 Diagnosticar e acompanhar pacientes com doença arterial coronariana.

 Auxiliar no planejamento do tratamento de pacientes com doenças cardiovasculares.

 Monitorar a progressão de certos distúrbios cardíacos.

 Avaliar a anatomia e função cardíaca e vasos sanguíneos em pacientes com cardiopatia congênita.

 Monitorar pacientes que realizaram cirurgias cardíacas, especialmente de cardiopatias congênitas.

 Contribuir para o planejamento pré-operatório e no monitoramento pós-operatório.

Quais condições podem ser diagnosticadas com a RMC?

o A RMC pode ajudar a diagnosticar condições como:

 Aterosclerose

 Insuficiência cardíaca

 Isquemia miocárdica

 Infarto do miocárdio

 Derrame pericárdico

 Pericardite constritiva

 Anomalias congênitas do pericárdio

 Cardiomiopatia hipertrófica

 Miocardite

image cranio

Riscos e Cuidados:

 Doença arterial periférica, entre outras.

• Preparação para a Ressonância Magnética Cardíaca:

• Jejum de 4 horas. Água e medicamentos podem ser ingeridos até uma hora antes do exame.

• Trazer exames anteriores relacionados ao coração.

• Suspender café, chá, chocolates, refrigerantes, bebidas alcoólicas e cigarro 24 horas antes do exame.

• Suspender antigripais, analgésicos, antialérgicos, broncodilatadores e aminofilina 36 horas antes do exame.

setores da radiologia RaioXnaWeb!