Ressonância Substancia Branca - Neuro

imagem anatomia humana

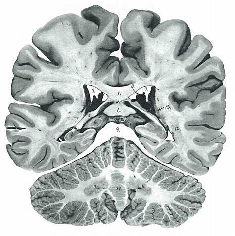
Substância Branca

Neurônios

A substância branca nada mais é do que as redes neurais propriamente ditas. Sem essas fibras, toda a atividade inteligente do córtex seria esparsa e incoordenada. A comunicação dentro do cérebro é o tema deste artigo.

A substância branca nada mais é do que as redes neurais propriamente ditas. Sem essas fibras, toda a atividade inteligente do córtex seria esparsa e incoordenada. A comunicação dentro do cérebro é o tema deste artigo.

Existem fibras de projeção que basicamente enviam impulsos do córtex para o tronco encefálico, medula espinhal, hipocampo etc, sendo responsáveis, por exemplo, pela movimentação de membros, ativação de memórias e emoções. Compostas pela coroa radiada (fibras entre o córtex e o tálamo) e a cápsula interna(ramos anterior, posterior e joelho).

As fibras de associação (maioria) interligam áreas corticais próximas ou à distância. Podem formar redes neurais dentro de um mesmo hemisfério como também entre um e outro. Dentre as fibras intrahemisféricas destacam-se o fascículo do cíngulo, fascículo longitudinal superior, fascículo longitudinal inferior e fascículo uncinado. As fibras interhemisféricas ou comissurais são compostas pelo corpo caloso, comissuras anterior, posterior, hipocampal e habenular.

image cranio

Fascículo longitudinal superior

O fascículo longitudinal superior possui 4 porções e conecta a parte anterior e posterior do cérebro. Interliga os lobos frontal, parietal e occipital, além da sua porção arqueada, que conecta essas áreas ao lobo temporal. Possui, portanto, dentre outras funções, importante papel na integração das áreas responsáveis pela linguagem (lobo frontal inferior e porção posterior do lobo temporal).

image cranio

Cápsula interna

A cápsula interna é extremamente importante pois a maioria das fibras que entram ou saem do córtex passam por ela. É dividida em ramo anterior, joelho e ramo posterior. Separa o tálamo do núcleo caudado anteriormente e separa o tálamo do núcleo lentiforme, posteriormente. Lesões dessa área secundárias a obstrução de vasos ou hemorragias são frequentes (AVE) e podem causar hemiplegia e hemianestesia contralateral.

image cranio

Fascículo do cíngulo

O fascículo do cíngulo (FCG) é um feixe longo de fibras que passa internamente ao giro do cíngulo e continua no giro parahipocampal, sendo componente importante do sistema límbico. Interliga uma região que vai desde a porção subcalosa até o lobo temporal (formação hipocampal).

image cranio

Corpo caloso

O corpo caloso é o maior feixe de fibras do sistema nervoso. Permite o trânsito de informações entre os dois hemisférios cerebrais. Sua parte anterior (joelho e fórceps menor) conecta os lobos frontais, em seguida o corpo do corpo caloso e a parte posterior (esplênio e fórceps maior) conectam os lobos parietais e occipitais. A lesão da parte anterior provoca agrafia e distúrbios psíquicos como apatia, instabilidade do humor e déficit de atenção.

setores da radiologia

É possível avaliar a integridade dessas redes neurais com a tecnologia atual?

Sim. Atualmente, com o avanço das técnicas radiológicas, foi possível desenvolver métodos diagnósticos para estudar as fibras brancas. A partir de exames como a tractografia (um tipo de ressonância magnética), os especialistas podem nos dizer se determinado circuito cerebral está interrompido, desviado por alguma lesão tumoral ou simplesmente não existe. Interessante, não!?


setores da radiologia
setores da radiologia RaioXnaWeb!