A IMPORTÂNCIA DA RESSONÂNCIA MAGNÉTICA NO DIAGNÓSTICO DA ADENOMIOSE
💫 O que é Adenomiose?
A adenomiose é uma condição ginecológica benigna caracterizada pela presença de tecido endometrial (que normalmente reveste o interior do útero) infiltrando o miométrio, a parede muscular do útero. Essa infiltração pode causar dor pélvica crônica, menstruações intensas e prolongadas e, em alguns casos, infertilidade. É comum em mulheres entre 35 e 50 anos e pode coexistir com outras condições, como miomas e endometriose.
🎈 Sintomas mais comuns
- Dismenorreia (cólicas menstruais intensas)
- Menorragia (sangramento menstrual abundante)
- Dor pélvica crônica
- Relações sexuais dolorosas (dispareunia)
- Infertilidade
🔹 Por que a Ressonância é importante?
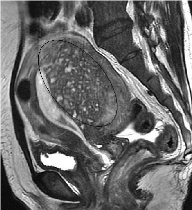
A ressonância magnética (RM) é hoje considerada um dos melhores métodos para o diagnóstico preciso da adenomiose. Ela permite uma visualização detalhada das camadas do útero, identificando alterações na espessura da zona juncional e características como lesões císticas, focos ectópicos e alterações difusas no miométrio.
💡 Principais achados na imagem por RM
- Espessamento da zona juncional (acima de 12 mm)
- Presença de pequenos focos hiperintensos em T2
- Aspecto "borrado" entre endométrio e miométrio
- Lesões císticas intramiometriais
📉 Contraste e gel vaginal no protocolo
O uso de contraste paramagnético à base de gadolínio pode ser solicitado em casos onde se deseja diferenciar lesões adenomioses de miomas ou avaliar extensão e vascularização de lesões suspeitas. No entanto, para a maioria dos casos de adenomiose, o contraste não é estritamente necessário, pois as sequências T2 e T1 já fornecem excelente informação anatômica.
O uso de gel vaginal é uma técnica complementar muito valiosa para distender a parede vaginal e afastar as estruturas ginecológicas, melhorando a visibilidade da região posterior do útero e do fundo de saco de Douglas. O gel proporciona contraste natural no interior da vagina em sequências T2, facilitando a delimitação da anatomia pélvica. O técnico deve aplicar cuidadosamente cerca de 10-20 ml de gel hidrossolúcel antes da aquisição.
👩⚖️ Papel do técnico em radiologia
O técnico deve dominar o protocolo ginecológico, garantir a aplicação correta das sequências T2 e T1, com cortes sagitais, axiais e coronais finos. A qualidade das imagens e o controle dos artefatos de movimento é fundamental para a acurácia do diagnóstico. O posicionamento deve ser centralizado, com bexiga moderadamente cheia, para melhor delimitação das estruturas pélvicas.
⚖️ Condutas e tratamentos
Com o diagnóstico de adenomiose confirmado, o tratamento pode variar entre acompanhamento clínico, uso de anti-inflamatórios, hormonoterapia ou procedimentos cirúrgicos, como histerectomia nos casos mais severos. A RM é essencial para orientar a conduta adequada e avaliar a extensão da doença.
RAIOXNAWEB: mais conhecimento para melhorar o cuidado com a saúde feminina.