Ressonância Magnética na Avaliação de Lesões Esportivas
A prática esportiva, seja profissional ou amadora, expõe o corpo humano a esforços intensos e repetitivos, o que pode resultar em lesões musculoesqueléticas. A ressonância magnética (RM) é considerada o exame de escolha para a avaliação dessas lesões devido à sua alta resolução e capacidade de diferenciar tecidos moles, ossos, cartilagens, tendões e ligamentos.
Por que a RM é indicada nas lesões esportivas?
Diferente de outros métodos de imagem, como o raio-X e a tomografia computadorizada, a RM não utiliza radiação ionizante. Ela oferece imagens detalhadas em múltiplos planos, o que permite identificar desde microlesões até rupturas completas, além de processos inflamatórios, edema ósseo e degeneração de cartilagem.
Principais tipos de lesões detectadas
- Lesões musculares: distensões, rupturas parciais ou completas e hematomas intramusculares.
- Lesões ligamentares: entorses, lesões do ligamento cruzado anterior (LCA) e colateral medial (LCM) no joelho.
- Lesões tendíneas: tendinites, tendinopatias e rupturas (como no tendão de Aquiles).
- Lesões articulares: condromalácia patelar, lesões de menisco, derrame articular.
- Edema ósseo e fraturas ocultas: comuns em esportes de impacto.
Uso de contraste na avaliação esportiva
Em casos específicos, a utilização de contraste paramagnético (à base de gadolínio) pode ser indicada para diferenciar cicatrizes antigas de lesões recentes, avaliar processos inflamatórios ativos ou confirmar a extensão de lesões intra-articulares.
Vantagens da RM nas lesões esportivas
- Diagnóstico precoce e preciso.
- Melhor definição de tecidos moles.
- Planejamento de tratamento cirúrgico ou conservador.
- Acompanhamento da evolução da cicatrização.
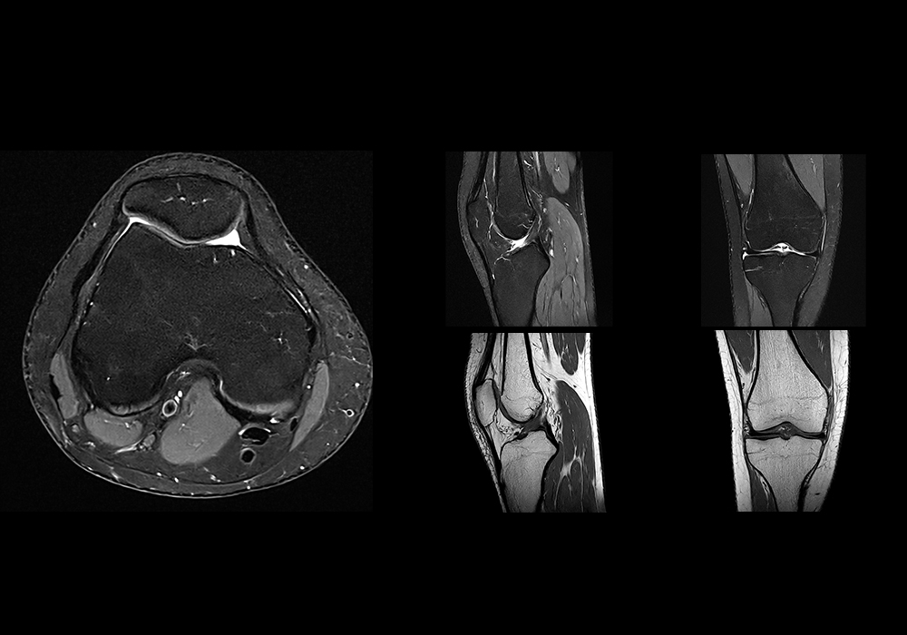
Protocolos de exame
Os protocolos de RM para lesões esportivas variam de acordo com a área a ser examinada, mas normalmente incluem sequências T1, T2, STIR ou PD Fat Sat, que permitem identificar tanto a anatomia normal quanto as alterações patológicas.
Conclusão: A ressonância magnética é uma ferramenta indispensável para atletas e profissionais da saúde, permitindo diagnósticos mais rápidos e tratamentos mais eficazes, ajudando o paciente a retornar à sua atividade física com segurança.