T2 vs T2* na Ressonância Magnética: Quando usar cada um?
🎯 Diferenças entre T2 e T2*
Na ressonância magnética, as sequências T2 e T2* têm objetivos diferentes. O T2 tradicional (Spin Echo ou FSE) destaca estruturas com alto teor de água, como o líquido cefalorraquidiano, edema e inflamações. Já o T2* (Gradient Echo ou SWI) é extremamente sensível a variações de campo magnético, como sangue, calcificações e metais.
🧠 T2 Clássico (Spin Echo ou FSE)
- Objetivo: Avaliar estruturas com alto teor de água.
- Imagem: Líquidos aparecem hiperintensos (brancos).
- Uso comum: Edema cerebral, abcessos, tumores, lesões medulares.
- Vantagem: Alta qualidade de imagem e menos artefatos de suscetibilidade.
🌪️ T2* (GRE ou SWI)
- Objetivo: Detectar micro-hemorragias, calcificações e metais.
- Imagem: Produtos do sangue aparecem hipointensos (escuros).
- Uso comum: TCE, angiopatias amiloides, malformações vasculares.
- Vantagem: Alta sensibilidade a pequenas alterações de campo.
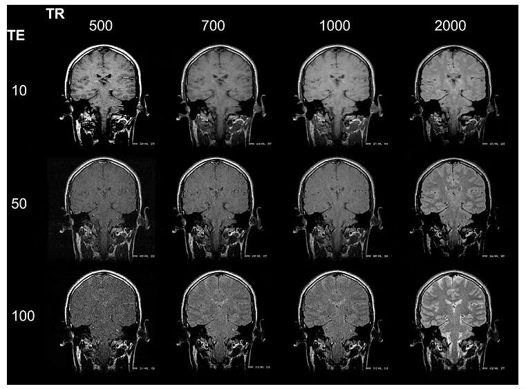
🔧 Parâmetros de Aquisição
Para obter sequências T2 ou T2*, alguns parâmetros precisam ser ajustados:
| Parâmetro | T2 (FSE/SE) | T2* (GRE/SWI) |
|---|---|---|
| TR | ≥ 2000 ms | 300–800 ms |
| TE | ≥ 80 ms | 15–40 ms |
| Flip Angle | 90° | 10° a 30° |
| Tipo de sequência | Spin Echo / FSE | Gradient Echo / SWI |
🧪 Exemplo Prático
Paciente com traumatismo craniano leve (TCE):
- No T2 clássico, pode não haver alteração.
- No T2*, podem surgir micro-hemorragias hipointensas.
🔎 Quando usar T2 e quando usar T2*
| Característica | T2 | T2* |
|---|---|---|
| Realce de líquido | ✅ Excelente | ❌ Limitado |
| Sensibilidade a sangue/metal | ❌ Baixa | ✅ Alta |
| Qualidade da imagem | Alta | Maior risco de artefato |
| Tempo de aquisição | Mais longo | Mais curto |
Conclusão: Conhecer a diferença entre T2 e T2* permite escolher a melhor abordagem para cada caso, melhorando a precisão diagnóstica e a eficiência do exame. O técnico deve dominar esses conceitos para atuar com segurança e qualidade.