Investigação de Facomatose — Síndrome de Von Hippel–Lindau | RAIOXNAWEB
🧬 O que é a Síndrome de von Hippel-Lindau?
A VHL é uma condição hereditária autossômica dominante caracterizada pelo surgimento de múltiplos tumores, como hemangioblastomas no sistema nervoso central, angiomas na retina e neoplasias renais e pancreáticas :contentReference[oaicite:0]{index=0}.
Resumo: A Síndrome de Von Hippel–Lindau (VHL) é uma facomatose com predisposição a hemangioblastomas, carcinoma de células renais, tumores pancreáticos e feocromocitomas. A investigação por imagem deve ser ampla e sensível, priorizando RM com contraste para SNC e coluna e exame abdominal com contraste para caracterização de lesões renais e pancreáticas.
Objetivo do exame
Avaliar as principais áreas de acometimento para detecção precoce de lesões, mesmo em pacientes assintomáticos, garantindo que pequenas lesões sólidas não passem despercebidas.
Protocolo recomendado
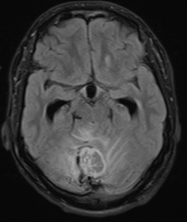
1 — RM de encéfalo com contraste
- T1 axial e sagital sem contraste.
- T2 FSE e/ou FLAIR para parênquima.
- DWI/ADC.
- Pós-contraste: T1 multiplanar (axial, coronal, sagital) com cobertura da fossa posterior.
- Incluir angio-RM (TOF) quando houver suspeita de malformação vascular.
2 — RM de coluna total com contraste
- T1 e T2 sagital cobrindo toda a coluna.
- Cortes axiais nos níveis suspeitos.
- Pós-contraste para detecção de hemangioblastomas medulares.
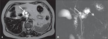
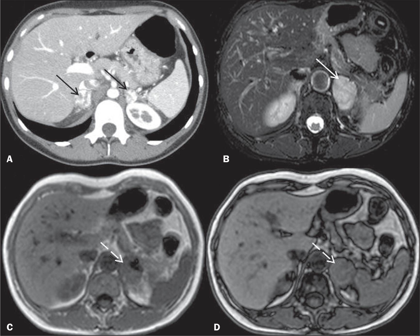
3 — Abdome (TC ou RM) — preferencialmente com contraste
- TC: fase sem contraste + fase corticomedular + fase nefrográfica.
- RM: T1, T2, difusão e pós-gadolínio (fases arterial, portal e tardia quando aplicável).
- Objetivo: identificação de carcinoma de células renais, cistos pancreáticos e tumores neuroendócrinos.
4 — TC de tórax (cortes finos)
Cortes ≤1,25 mm, reconstruções MPR e MIP para avaliação de nódulos pulmonares e possíveis metástases.
Observações práticas
Pedidos iniciais de triagem podem vir como crânio com contraste e tórax/abdome sem contraste. No entanto, para uma investigação de facomatose/VHL completa, recomenda-se adicionar:
- Coluna total com contraste.
- Abdome com contraste (melhor sensibilidade para tumores renais pequenos).
Resumo prático e follow-up
• Monitorar com RM de encéfalo e coluna a cada 1–2 anos quando indicado.
• RM de abdome anual ou bianual conforme risco e achados prévios.
• Avaliação oftalmológica periódica.
📋 Importância da RM no acompanhamento
A ressonância magnética é essencial para rastrear lesões silenciosas e evitar complicações graves. Protocolos especializados combinam exames do cérebro, coluna, abdômen e pâncreas com contraste, em tempos reduzidos (ex: protocolo de corpo inteiro em ~35 minutos) :contentReference[oaicite:1]{index=1}.
⏱ Protocolo de Vigilância Atual em RM
- Cérebro e medula espinhal: RM com e sem contraste, cortes finos via 1.5 T, frequência a cada 12-24 meses :contentReference[oaicite:2]{index=2}.
- Abdômen (rins e pâncreas): RM com e sem contraste anual, exames alternando com ultrassom :contentReference[oaicite:3]{index=3}.
- Retina: Avaliação oftalmológica anual desde a infância :contentReference[oaicite:4]{index=4}.
⚕ Papel do Técnico em Radiologia
O técnico precisa dominar protocolos de RM total com contraste, garantindo cortes anatômicos ideais, tempo de contraste sincronizado e qualidade de imagem consistente para detecção precoce de lesões – essencial na gestão da VHL.
📌 Conclusão
A adoção de protocolos de ressonância estruturados e rápidos é vital para a vigilância eficaz da VHL. Eles permitem detecção precoce e melhoria de qualidade de vida. O técnico em radiologia desempenha papel central nesse processo.